Imagina un jardín bien cuidado: las flores están frescas, las hojas brillan bajo el sol y el suelo es firme y nutrido. Así son las encías rosadas: el reflejo de una boca que recibe amor, atención y cuidados constantes. Pero, ¿sabías que ese tono coral no solo es cuestión de estética? ¡Es un termómetro de tu salud bucal y general!
En este artículo, descubrirás por qué las encías rosadas son las verdaderas VIPs de tu sonrisa, cómo mantenerlas así y qué hacer si notas cambios sutiles (¡aunque sigan siendo rosadas!). Además, si vives en Linares o cerca, te contaremos cómo en la Clínica Dental María José Manrique podemos ayudarte a preservar esa armonía. ¡Vamos a celebrar el color de la salud!
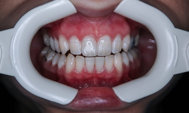
El color natural de las encías
Las encías rosadas son como el “vestido negro” de la odontología: clásicas, elegantes y llenas de significado. Todos las deseamos, pero pocos saben realmente qué las hace posibles. No se trata solo de cepillarse los dientes tres veces al día (aunque ayuda). Detrás de ese tono saludable hay una combinación de higiene impecable, alimentación equilibrada y visitas regulares al dentista.
Pero cuidado: incluso las encías más rosadas pueden esconder problemas si no las escuchas. Por eso, hoy desglosaremos todo lo que necesitas saber para mantenerlas fuertes, felices y, sobre todo, ¡rosadas como un atardecer de primavera!
¿Por qué son tan importantes las encías rosas?
Las encías son mucho más que el marco de tus dientes. Son tejidos vivos que cumplen funciones clave:
- Protegen las raíces dentales de bacterias y golpes.
- Sostienen los dientes como si fueran una red elástica y resistente.
- Actúan como sensores ante cambios en tu cuerpo (desde infecciones hasta deficiencias nutricionales).
Cuando están rosadas y firmes, sin sangrado de encías, indican que todo está en orden: la sangre fluye correctamente, no hay inflamación y tu rutina de higiene está funcionando. Pero si ese rosa se apaga o aparecen otros síntomas, es hora de investigar.
Características de las encías sanas
No todas las encías rosadas son iguales. Para considerarse sanas, deben cumplir estos requisitos:
- Color uniforme: Un tono coral o rosa pálido, sin manchas rojas, blancas o moradas.
- Textura firme: Similar a la piel de una naranja, con un aspecto ligeramente puntillado.
- Sin sangrado: Ni al cepillarte, ni al usar hilo dental, ni al morder una manzana.
- Bien adheridas: Rodean los dientes como un abrazo ajustado, sin bolsas o espacios.
- Libres de dolor: No duelen al tacto ni reaccionan al frío o calor.
Si tus encías cumplen con todo esto, ¡enhorabuena! Estás haciendo algo (o muchas cosas) bien.
Hábitos para mantener las encías rosadas
Mantener ese tono rosado no es complicado, pero requiere constancia. Aquí tienes un plan paso a paso:
Cepillado suave pero eficaz
- Usa un cepillo de cerdas suaves para no irritar las encías.
- Inclina las cerdas 45° hacia la línea de las encías para eliminar placa.
- Dos minutos, dos veces al día: Menos es insuficiente, más puede ser agresivo.
Hilo dental
- Pásalo suavemente entre cada diente, formando una “C” alrededor de la encía.
- Si sangras al usarlo, no lo abandones: es señal de que hay inflamación (¡y el hilo ayudará a reducirla!).
Enjuague bucal sin alcohol
- El alcohol reseca las encías y altera su pH. Opta por fórmulas con flúor o clorhexidina (solo bajo recomendación).
Alimentación antinflamatoria
- Vitamina C: Naranjas, kiwis y pimientos rojos fortalecen el colágeno gingival.
- Omega-3: Salmón y nueces reducen la inflamación.
- Agua: Mantiene la boca hidratada y arrastra bacterias.
Tabaco y cigarrillos
- Fumar reduce el flujo sanguíneo, dando a las encías un tono pálido o amoratado. Además, es el gran enemigo del rosa coral.
Mitos sobre las encías rosas: Desmontando falsas creencias
- ❌ Mito: “Si mis encías son rosadas, no necesito ir al dentista”.
✅ Verdad: Las caries o el sarro dental pueden existir sin afectar el color. Las revisiones son clave. - ❌ Mito: “El sangrado ocasional es normal”.
✅ Verdad: ¡Nunca lo es! Indica gingivitis temprana, incluso si las encías siguen rosadas. - ❌ Mito: “Los enjuagues fuertes (como el agua oxigenada) mantienen el color”.
✅ Verdad: Pueden destruir la microbiota bucal y causar irritación. Mejor usa productos específicos.
¿Y si mis encías son rosadas pero tengo problemas? Señales sútiles de alerta
A veces, el color de las encias engaña. Presta atención si notas:
- Retracción gingival: Las encías se “encogen”, exponiendo la raíz del diente (aunque sigan rosadas).
- Sensibilidad al frío: La sensibilidad dental podría indicar caries cerca de la línea de las encías.
- Mal aliento persistente: Aunque no haya inflamación visible, puede haber bacterias ocultas.
- Movilidad dental leve: Si los dientes se mueven ligeramente, podría haber pérdida de hueso.
En estos casos, el problema no está en el color, sino en la estructura o función de las encías. ¡No lo ignores!
Tratamiento y revisión de encías en Linares: Cuida tus encías rosas con nosotros
En nuestra clínica dental en Linares, creemos que las encías rosadas no son un destino, sino un viaje. Por eso, te acompañamos en cada paso:
- Revisiones Personalizadas:
- Usamos cámaras intraorales HD para mostrarte el estado real de tus encías, incluso en zonas ocultas.
- Evaluamos la profundidad de los surcos gingivales para detectar bolsas periodontales incipientes.
- Limpiezas Profesionales Adaptadas:
- Eliminamos el sarro subgingival (ese que no ves) sin dañar el tejido rosado.
- Aplicamos flúor tópico para fortalecer el esmalte dental y las encías.
- Educación en Higiene:
- ¿Usas bien el hilo dental? ¿Tu cepillo es el adecuado? Te enseñamos técnicas personalizadas.
- Recomendamos productos específicos según tus necesidades (encías sensibles, ortodoncia, etc.).
- Seguimiento Antinflamatorio:
- Si tienes predisposición a la gingivitis, diseñamos un plan con visitas más frecuentes.
¿Sabías que incluso las encías más sanas acumulan placa bacteriana en zonas inaccesibles? Por eso, visitar al dentista cada 6 meses es tan importante como cepillarte.
Las encías rosadas no son un regalo del azar, sino el resultado de hábitos conscientes y una relación de confianza con tu dentista. Celebrar su color es celebrar tu compromiso contigo mismo.
En la Clínica Dental María José Manrique, te ofrecemos tratamientos de encías en Linares: ayudamos a prevenirlos. Con tecnología de vanguardia, un equipo humano apasionado y un enfoque cercano, queremos ser tus aliados en este viaje hacia una sonrisa imparable.
¿Listo para que tus encías sigan siendo el orgullo de tu boca? ¡Te esperamos en Linares!

















