Casos clínicos
resueltos
antes y después

Nuestra mayor ilusión es trabajar por tu sonrisa. Por ello os mostramos a continuación algunos de los muchos casos que hemos resuelto en nuestro centro odontológico, donde podréis ver el antes y el después de los tratamientos .

Después
Antes

Tratamiento de Ortodoncia Invisible
con alineadores Alineadent en 10 meses

Hoy os mostramos el progreso de un tratamiento de Ortodoncia Invisible con alineadores ¡mirad el progreso después de 10 meses! Como ya sabéis, la Ortodoncia Invisible tiene numerosos beneficios en tu sonrisa, ya que utiliza alineadores transparentes sin hierros, ni alambres.

Tratamiento de Ortodoncia Invisible con alineadores Alineadent en 10 meses

Hoy os mostramos el progreso de un tratamiento de Ortodoncia Invisible con alineadores ¡mirad el progreso después de 10 meses! Como ya sabéis, la Ortodoncia Invisible tiene numerosos beneficios en tu sonrisa, ya que utiliza alineadores transparentes sin hierros, ni alambres.

Después
Antes

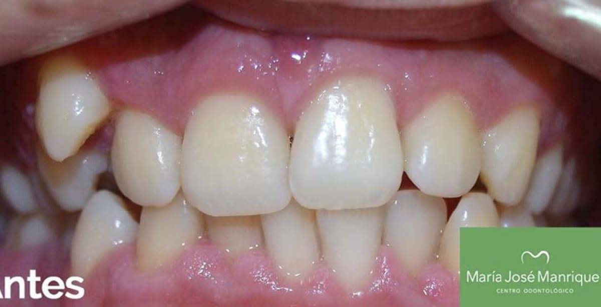
Tratamiento de Ortodoncia Convencional con brackets metálicos

Resultado tras el tratamiento de brackets metálicos, su sonrisa ha cambiado por completo: mucho más alineada y bonita.

Después
Antes

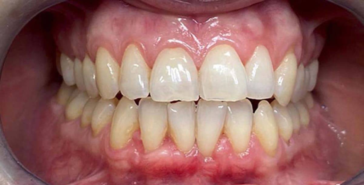
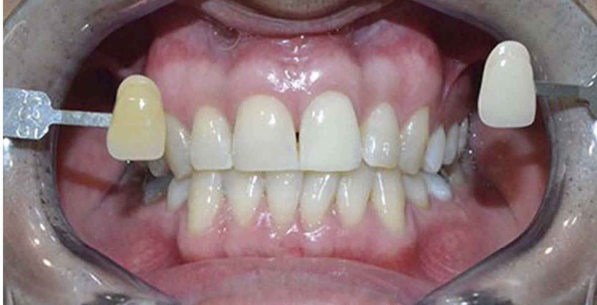
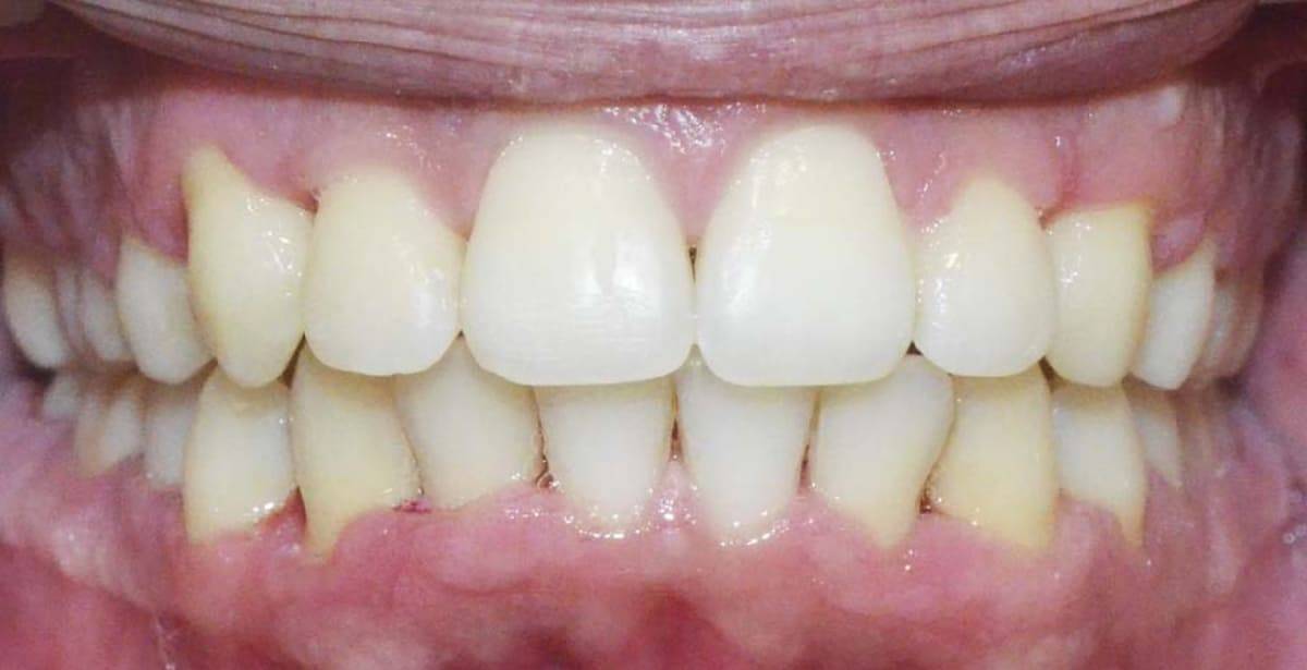
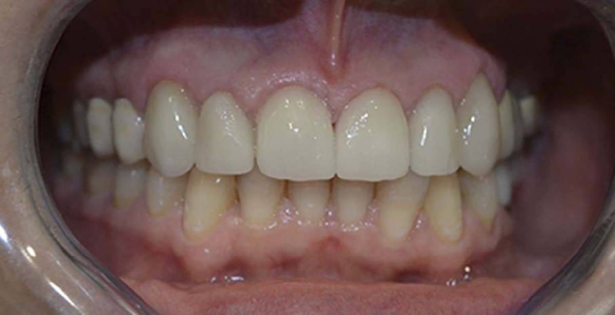
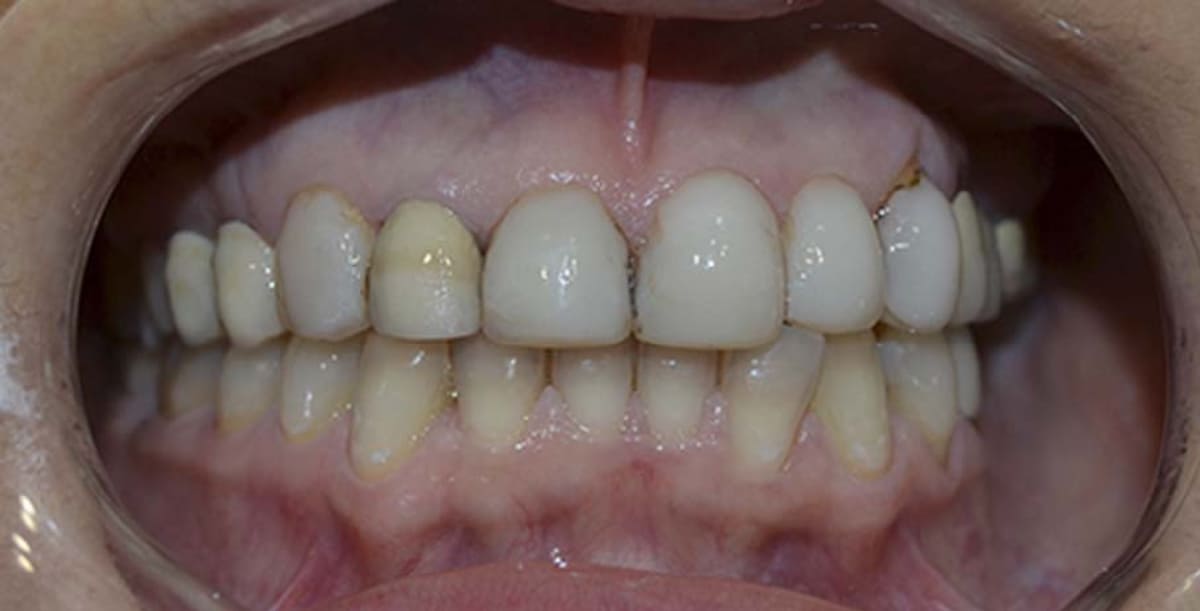
Tratamiento de coronas de
disilicato en arcada superior

Para el siguiente tratamiento se le colocan al paciente 6 coronas de disilicato en la arcada superior para mejorar el estado y apariencia de su sonrisa.

Después
Antes
Después
Antes

Tratamiento de coronas de
disilicato en arcada superior

Para el siguiente tratamiento se le colocan al paciente 6 coronas de disilicato en la arcada superior para mejorar el estado y apariencia de su sonrisa.

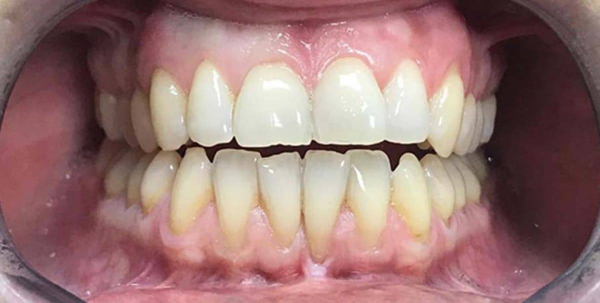
Tratamiento de reparación de esmalte tras traumatismo y blanqueamiento dental

El esmalte de uno de sus dientes estaba dañado tras un traumatismo. Para solucionar este problema, el paciente se realizó un blanqueamiento interno en esa pieza y nuestro blanqueamiento en clínica en el resto de la cavidad oral.

Después
Antes
Después
Antes

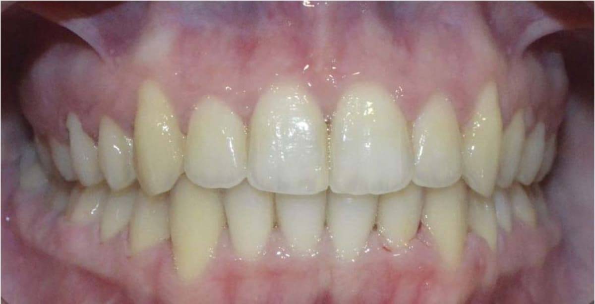
Tratamiento odontológico de reconstrucción del estado y apariencia de la sonrisa

Esta paciente se ha sometido a un tratamiento odontológico de reconstrucción para mejorar el estado y apariencia de su sonrisa.

Tratamiento odontológico de reconstrucción del estado y apariencia de la sonrisa

Esta paciente se ha sometido a un tratamiento odontológico de reconstrucción para mejorar el estado y apariencia de su sonrisa.

Después
Antes

Cirugía mucogingival y recesiones múltiples

Esta chica quería mejorar el estado de su salud bucodental y vino a Centro Odontológico María José Manrique para ponerse en manos de nuestra doctora. Su cavidad oral presentaba la pérdida de encía, dejando parte de la raíz dental expuesta, lo cual le causaba sensibilidad.
Para solucionar este problema estético y funcional realizamos la eliminación del frenillo labial inferior y una técnica tunelizada de tejido conectivo del paladar. ¡Aquí podéis ver su evolución en tan solo un mes!

Después
Antes
Después
Antes

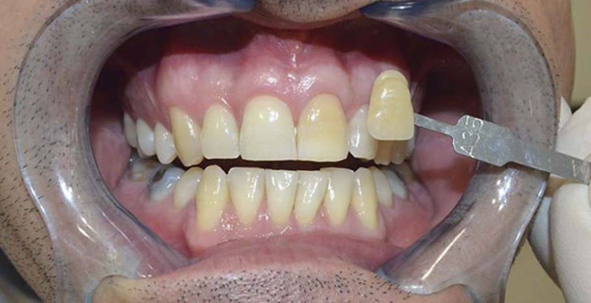
Blanqueamiento Interno en incisivo central

Hoy os mostramos el progreso de un tratamiento de Ortodoncia Invisible con alineadores ¡mirad el progreso después de 10 meses!

Como ya sabéis, la Ortodoncia Invisible tiene numerosos beneficios en tu sonrisa, ya que utiliza alineadores transparentes sin hierros, ni alambres.

Blanqueamiento Interno en incisivo central

Hoy os mostramos el progreso de un tratamiento de Ortodoncia Invisible con alineadores ¡mirad el progreso después de 10 meses!

Como ya sabéis, la Ortodoncia Invisible tiene numerosos beneficios en tu sonrisa, ya que utiliza alineadores transparentes sin hierros, ni alambres.

Después
Antes

¿Quieres que
estudiemos tu caso?